Trouble あなたのお悩みはどれですか?
「歯並びが悪い」といっても、不正咬合(悪い歯並び)にはさまざまな種類があります。
その種類と程度は人それぞれですが、一般的に多いのは、下記のような歯並びでお悩みの方です。
ご自分に近い症状を探してみてください。
Case お悩み別治療例
※症例写真について
・すべて当院で治療を完了し、掲載の許可をいただいた患者さまのものです。
・トリミング(切り抜き)などを除き、画像の修正は行なっていません。
・治療はすべて各患者さま固有の症例に対応したものであり、ほかの方への治療結果を保証するものではありません。
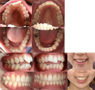
叢生(八重歯、ガタガタ)不正咬合
● 治療例1
| 年齢 | 32歳 |
|---|---|
| 主訴 | 叢生 |
| 使用した装置 | マウスピース型矯正装置(インビザライン) |
| 抜歯箇所 | なし |
| 期間 | 1年1ヶ月 |
| 通院回数 | 10回 |
| 総額 | 767,800円 |
| 治療の内容・詳細 | 初回と追加アライナーで主訴の叢生を改善、最終左上2番の挺出と嚙み合わせの調整を行い治療を終了いたしました。 |
| リスク・副作用 | 保定装置をしっかり装着していないと、後戻りする可能性があります。咬合痛、歯根吸収、歯根露出を生じる可能性があります。 |
● 治療例2

| 年齢 | 23歳 |
|---|---|
| 主訴 | 叢生(右上1番と右下1番が出ている) |
| 使用した装置 | 上下床矯正装置+マウスピース型矯正装置(インビザライン) |
| 抜歯箇所 | 親知らず |
| 期間 | 3年1ヵ月 |
| 総額 | 877,800円 |
| 治療の内容・詳細 | 出ている前歯を内側に入れるためにIPR(歯のすき間をつくる処置)を行なっています。期間は約3年、上下で拡大床装置を使い、右上1番の唇側傾斜が改善し、しっかり噛めるようになっています。 |
| リスク・副作用 | 咬合痛、歯根吸収、歯根露出を生じる可能性があります。 |
● 治療例3

| 年齢 | 48歳 |
|---|---|
| 主訴 | 叢生(上下の叢生と咬み合わせ、左上2番が特に気になる) |
| 使用した装置 | マウスピース型矯正装置(インビザライン) |
| 抜歯箇所 | なし |
| 期間 | 4年4ヵ月 |
| 通院回数 | 36回 |
| 総額 | 767,800円 |
| 治療の内容・詳細 | 左上2番の改善に時間がかかりましたが、矯正治療だけでなくホワイトニングも行なっており、とても美しい口もとになっています。 |
| リスク・副作用 | 保定装置をしっかり装着していないと、後戻りする可能性があります。咬合痛、歯根吸収、歯根露出を生じる可能性があります。 |
● 治療例4

| 年齢 | 26歳 |
|---|---|
| 主訴 | 叢生(上下の前歯の叢生が気になる) |
| 使用した装置 | 床矯正装置で上下横に拡大+マウスピース型矯正装置(インビザライン) |
| 抜歯箇所 | 親知らず |
| 期間 | 2年4ヵ月 |
| 通院回数 | 17回 |
| 総額 | 877,800円 |
| 治療の内容・詳細 | 元々上下の前歯が噛み合っておりませんでしたが、上の前歯を後ろに下げることで前歯のかみ合わせも良くなっています。 |
| リスク・副作用 | 元々すき間があった部分は、保定装置をしっかり装着していないと後戻りする可能性があります。咬合痛、歯根吸収、歯根露出を生じる可能性があります。 |
● 治療例5

| 年齢 | 24歳 |
|---|---|
| 主訴 | 前歯が出てる、下の歯のがたつき |
| 期間 | 【矯正】1年10か月 |
| 使用した装置 | 【矯正】マウスピース型矯正装置(インビザライン)、光加速装置「PBM HEALING」 |
| 抜歯箇所 | なし |
| 通院回数 | 【矯正】18回 |
| 総額 | 1,054,000円 |
| 治療の内容・詳細 | 【矯正】インビザライン 【ホワイトニング】ホワイトエッセンスコース (オフィスホワイトニング※13回、ホームホワイトニング 2か月分、クリーニング※22回、特選ホームケア用品) ※1 オフィスホワイトニング プロプラス ※2 オーラルスパクリーニング、ナノアパタイトコート研磨 頬側拡大を行い、上顎前歯の突出感を改善。追加アライナーでは残存空隙利用と少し遠心移動を追加して咬合を調整しています。 |
| リスク・副作用 | 【矯正】咬合痛、歯根吸収、歯根露出が生じる可能性があります。 【ホワイトニング】個人差がありますが、施術中や施術後に歯がしみる場合があります。 |
上顎前突(出っ歯)不正咬合
● 治療例1

| 年齢 | 18歳 |
|---|---|
| 主訴 | 上顎前突(上の前歯が出ている) |
| 使用した装置 | マウスピース型矯正装置(インビザライン) |
| 抜歯箇所 | なし |
| 期間 | 1年1ヵ月 |
| 通院回数 | 10回 |
| 総額 | 767,800円 |
| 治療の内容・詳細 | 軽度の叢生のため、抜歯せず短期間で保定までできた治療例です。装置の装着時間しっかり確保できており、治療期間が短くなりました。ATT(一時的に歯につける突起)を使い、IPR(歯のすき間をつくる処置)を行なっています。 |
| リスク・副作用 | 咬合痛、歯根吸収、歯根露出を生じる可能性があります。 |
● 治療例2

| 年齢 | 18歳 |
|---|---|
| 主訴 | 空隙・上顎前突(前歯のすき間と出っ歯が気になる) |
| 使用した装置 | マウスピース型矯正装置(インビザライン) |
| 抜歯箇所 | なし |
| 期間 | 2年10ヵ月 |
| 通院回数 | 24回 |
| 総額 | 822,800円 |
| 治療の内容・詳細 | 主訴のすき間がなくなり。きれいな歯並びになりました。咬み合わせにも注意しています。 |
| リスク・副作用 | 咬合痛、歯根吸収、歯根露出を生じる可能性があります。治療後、歯並びが少し後戻りする可能性があります。 |
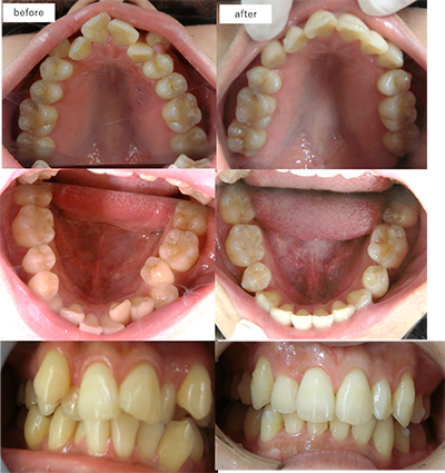
空隙歯列(すきっ歯)不正咬合
● 治療例1
| 年齢 | 28歳 |
|---|---|
| 主訴 | 空隙 |
| 使用した装置 | マウスピース型矯正装置(インビザライン) 光加速装置「PBMヒーリング」 |
| 抜歯箇所 | 左上下8抜歯、右下8抜歯 |
| 期間 | 6ヶ月 |
| 通院回数 | 10回 |
| 総額 | 877,800円(相談・検査・診断料 無料、調整料 無料) |
| 治療の内容・詳細 | カスタムメイドで制作されたマウスピースを定期的に交換しながら少しずつ歯に適切な力をかけて歯並びを整えていく矯正治療です。 |
| リスク・副作用 | 装着時間が少ないと治療期間が長引く可能性があります。 他の矯正治療法と同様に、疼痛・歯根吸収・歯肉退縮の可能性や適切な保定をしないと治療後に後戻りすることがあります。 |
● 治療例2

| 年齢 | 30歳 |
|---|---|
| 主訴 | 上22小さい、上11隙間 |
| 使用した装置 | マウスピース型矯正装置(インビザライン) |
| 抜歯箇所 | なし |
| 期間 | 1年1か月 |
| 通院回数 | 12回 |
| 総額 | 547,800円 |
| 治療の内容・詳細 | インビザライン、上22は矯正後他院で補綴治療 最終的に上22に空隙を残して矮小歯補綴治療をされています。ご本人様からもだいぶきれいになりましたとお言葉をいただいております。 |
| リスク・副作用 | 咬合痛、歯根吸収、歯根露出を生じる可能性があります。 |
● 治療例3

| 年齢 | 26歳 |
|---|---|
| 主訴 | 空隙歯列 |
| 使用した装置 | マウスピース型矯正装置(インビザライン) |
| 抜歯箇所 | なし |
| 期間 | 2年8カ月 |
| 通院回数 | 17回 |
| 総額 | 767,800円 |
| 治療の内容・詳細 | インビザライン はじめすきまがかなりありましたが初診時に認めた隙間はしっかり閉じ切れておりご本人様からもお喜びのお声をいただいております。 |
| リスク・副作用 | 咬合痛、歯根吸収、歯根露出が生じる可能性があります。 |
開咬不正咬合
● 治療例1
| 年齢 | 20歳 |
|---|---|
| 主訴 | 出っ歯、開咬 |
| 使用した装置 | マウスピース型矯正装置(インビザライン) |
| 抜歯箇所 | 非抜歯 |
| 期間 | 1年2ヶ月目 |
| 通院回数 | 10回 |
| 総額 | 767,800円(相談・検査・診断料 無料、調整料 無料) |
| 治療の内容・詳細 | カスタムメイドで制作されたマウスピースを定期的に交換しながら少しずつ歯に適切な力をかけて歯並びを整えていく矯正治療です。 |
| リスク・副作用 | 装着時間が少ないと治療期間が長引く可能性があります。 他の矯正治療法と同様に、疼痛・歯根吸収・歯肉退縮の可能性や適切な保定をしないと治療後に後戻りすることがあります。 |
● 治療例2

| 年齢 | 22歳 |
|---|---|
| 主訴 | 開咬、前歯閉じる(噛める)ようにしたい |
| 使用した装置 | マウスピース型矯正装置(インビザライン) |
| 抜歯箇所 | 上顎44 |
| 期間 | 2年11ヶ月 |
| 通院回数 | 22回 |
| 総額 | 789,800円(インビザライン767,800円、抜歯22,000円) |
| 治療の内容・詳細 | インビザライン 前歯部開咬と上顎前突により前歯で噛めない状態でした。上顎44抜歯、初回AngleハーフクラスⅡからフルクラスⅡ仕上げとしています、ご本人様からも上顎開咬が改善したと喜んでいただけました。 |
| リスク・副作用 | 咬合痛、歯根吸収、歯根露出が生じる可能性があります。 |
反対咬合不正咬合
● 治療例1

| 年齢 | 30歳 |
|---|---|
| 主訴 | 下の歯が前に出ている、上の前歯叢生 |
| 使用した装置 | マウスピース型矯正装置(インビザライン) |
| 抜歯箇所 | なし |
| 期間 | 2年2か月 |
| 通院回数 | 21回 |
| 総額 | 767,800円 |
| 治療の内容・詳細 | インビザライン 骨格性Ⅲ級の方、下顎遠心移動メインに動かしていき、最終かみ合わせの調整とIPRを行い、保定に入りました。ご本人様からも上の前歯がしっかり見えるようになりました!と喜びのお声をいただいています。 |
| リスク・副作用 | 咬合痛、歯根吸収、歯根露出が生じる可能性があります。 |
過蓋咬合
● 治療例1
| 年齢 | 22歳 |
|---|---|
| 主訴 | 空隙、叢生、過蓋咬合 |
| 使用した装置 | マウスピース型矯正装置(インビザラインライト) |
| 抜歯箇所 | 非抜歯 |
| 期間 | 7か月 |
| 通院回数 | 6回 |
| 総額 | 396,000円 |
| 治療の内容・詳細 | 初回アライナーで主訴の空隙と下顎叢生、過蓋咬合を改善、追加アライナーで再度調整して動的治療を終了いたしました。 |
| リスク・副作用 | 保定装置をしっかり装着していないと、後戻りする可能性があります。咬合痛、歯根吸収、歯根露出を生じる可能性があります。 |





